Skip to content Skip to sidebar Skip to footer

Como Dormir Con Fractura De Tibia Y Peroné

Como Dormir Con Fractura De Tibia Y Perone Actualizado Febrero 2022

Como Dormir Con Fractura De Tibia Y Perone Actualizado Febrero 2022

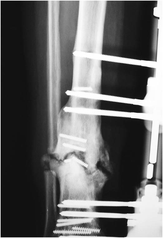
Como dormir con fractura de tibia y peroné. La distribución por edades sigue una frecuencia máxima a los 25 y 50 años de edad. La fractura puede ser oblicua longitudinal o transversal. Hacerse una reducción abierta y fijación interna en fractura de tibia o peroné.

A diferencia de muchas otras fracturas por fragilidad la incidencia de fracturas distales de tibia no aumenta con la edad. Salter-Harris tipo III y IV Las fx con más de 2 mm deben reducirse Suelen requerir reducción abierta. NaturalGlosarioClínicas Buscar Iniciar sesión Iniciar sesión Regístrate DeporteMujerBebéQué Salud NaturalLesiones CuidadosAutocuidadosClínicasGlosario Huesos.

Fracturas Proximales de Tibia y Peroné Diagnostico Fracturas proximales de tibia y peroné Métodos de Tratamiento Fracturas proximales de tibia y peroné Fracturas proximales de tibia y peroné Consideraciones especiales de la fractura Edad En estos casos el mejor tratamiento. Fracturas de tibia y peroné distal Curso de Traumatología Pediátrica Maestros. Para fracturas en pie o tobillo una media de compresión que te llegue justo hasta debajo de tu rodilla como esta.

Y si tienes la tibia el peroné o el fémur fracturado la media debe llegarte hasta la ingle. La tibia y el peroné que se encuentran uno al lado del otro. También se ocasiona por fuerzas repetitivas sobre el hueso como ocurre en corredores produciendo lo que se conoce por fracturas por estrés.

Sintomatología Violencia del trauma Compromiso de partes blandas Desplazamiento Dolor Impotencia funcional. Fractura de la tibia. Hace tan solo dos meses estaba escalando sobre hielo en el Picón de Jerez.

De las fracturas distales de tibia 15 se produjeron como resultado de caídas de baja energía y una se produjo de manera espontánea. Paciente de 30 años de edad con fracturas en tibia y peroné derechos después de caída desde una altura elevada. Así como otras roturas de hueso estas también son de carácter delicado pudiendo presentar complicaciones graves.

La fractura de peroné es una de las más comunes tanto en los deportistas como en la. Fractura de peroné con lesión de la diáfisis tibial.

Dormir Despues De Una Operacion Recomendaciones Generales

Dormir Despues De Una Operacion Recomendaciones Generales

Por Que Al Levantarme De La Cama Amanezco Con Dolor El Dolor Y Posturas Al Dormir Lcdo Ft Vincent Osorio Hive

Por Que Al Levantarme De La Cama Amanezco Con Dolor El Dolor Y Posturas Al Dormir Lcdo Ft Vincent Osorio Hive

Posiciones Para Dormir Despues De Operacion De Rodilla

Posiciones Para Dormir Despues De Operacion De Rodilla

Fractura De Perone Un Lugar Para Conspirar

Fractura De Perone Un Lugar Para Conspirar

Tratamiento Y Recuperacion De La Fractura De Tibia Y Perone Cirugia Pie Y Tobillo Dr Ballester

Tratamiento Y Recuperacion De La Fractura De Tibia Y Perone Cirugia Pie Y Tobillo Dr Ballester

Tratamiento Fractura Tibia Y Perone Hector Barbera Youtube

Tratamiento Fractura Tibia Y Perone Hector Barbera Youtube

Fractura De Perone De No Poder Apoyar El Pie Hasta Volver A Rendir Al Maximo

Fractura De Perone De No Poder Apoyar El Pie Hasta Volver A Rendir Al Maximo

Posiciones Para Dormir Despues De Operacion De Rodilla

Posiciones Para Dormir Despues De Operacion De Rodilla

Como Dormir Despues De Una Operacion De Rodilla Padelfemenino

Como Dormir Despues De Una Operacion De Rodilla Padelfemenino

Tratamiento Y Recuperacion De La Fractura De Tibia Y Perone Cirugia Pie Y Tobillo Dr Ballester

Tratamiento Y Recuperacion De La Fractura De Tibia Y Perone Cirugia Pie Y Tobillo Dr Ballester

Posiciones Para Dormir Despues De Operacion De Rodilla

Posiciones Para Dormir Despues De Operacion De Rodilla

Fractura De Perone Un Lugar Para Conspirar

Fractura De Perone Un Lugar Para Conspirar

Fractura Tibia Y Perone Rehabilitacion Completa Youtube

Fractura Tibia Y Perone Rehabilitacion Completa Youtube

Tratamiento Y Recuperacion De La Fractura De Tibia Y Perone Cirugia Pie Y Tobillo Dr Ballester

Tratamiento Y Recuperacion De La Fractura De Tibia Y Perone Cirugia Pie Y Tobillo Dr Ballester

7 Consejos Para Ayudarte A Sanar Mas Rapido Una Fractura Osea Fisioonline

7 Consejos Para Ayudarte A Sanar Mas Rapido Una Fractura Osea Fisioonline

Farell Relato El Duro Momento Que Pasa Tras Su Segunda Lesion Grave Eju Tv

Farell Relato El Duro Momento Que Pasa Tras Su Segunda Lesion Grave Eju Tv

Fractura De Tibia Y Perone Rehabilitacion Ejercicios Y Tiempo De Recuperacion Youtube

Fractura De Tibia Y Perone Rehabilitacion Ejercicios Y Tiempo De Recuperacion Youtube

Hinchazon De Tobillo Despues De Fractura De Perone Fisioterapia Valencia

Hinchazon De Tobillo Despues De Fractura De Perone Fisioterapia Valencia

Fractura De Perone De No Poder Apoyar El Pie Hasta Volver A Rendir Al Maximo

Fractura De Perone De No Poder Apoyar El Pie Hasta Volver A Rendir Al Maximo

Fractura De Tibia Y Perone Rehabilitacion Ejercicios Y Tiempo De Recuperacion Youtube Ejercicios Ejercicios De Rehabilitacion Fractura

Fractura De Tibia Y Perone Rehabilitacion Ejercicios Y Tiempo De Recuperacion Youtube Ejercicios Ejercicios De Rehabilitacion Fractura

Fracturas En Traumatologia Deportiva Tratamiento Con Cirugia Y Tratamiento Conservador Juan Arnal Traumatologo En Madrid

Fracturas En Traumatologia Deportiva Tratamiento Con Cirugia Y Tratamiento Conservador Juan Arnal Traumatologo En Madrid

Fractura De Tibia Y Perone Consultas Y Experiencias

Fractura De Tibia Y Perone Consultas Y Experiencias

Facultad De Enfermeria Caso Clinico En Un Paciente Con Fractura De Tibia Perone Servicio Traumatologia Externado Interna Kelly Paola Meza Villanueva Ppt Descargar

Facultad De Enfermeria Caso Clinico En Un Paciente Con Fractura De Tibia Perone Servicio Traumatologia Externado Interna Kelly Paola Meza Villanueva Ppt Descargar

1

1

Hinchazon De Tobillo Despues De Fractura De Perone Fisioterapia Valencia

Hinchazon De Tobillo Despues De Fractura De Perone Fisioterapia Valencia

Fractura De Tibia Cuanto Tiempo Tarda En Sanar Dr Brugiatti Ortopeda

Fractura De Tibia Cuanto Tiempo Tarda En Sanar Dr Brugiatti Ortopeda

Broken Perone Tiempo Y Paciencia Necesidades

Broken Perone Tiempo Y Paciencia Necesidades

Se Puede Usar Una Bota Walker En Lugar De Yeso

Se Puede Usar Una Bota Walker En Lugar De Yeso

6 Tips De Como Dormir Despues De Una Artroscopia De Rodilla

6 Tips De Como Dormir Despues De Una Artroscopia De Rodilla

Fisioterapiafisiocorpus Posts Facebook

Fisioterapiafisiocorpus Posts Facebook

Secuelas Postraumaticas Hospital Quironsalud Malaga

Secuelas Postraumaticas Hospital Quironsalud Malaga

Fracturas De Perone Que Es Causas Sintomas Tratamiento Y Consejos Fisioonline

Fracturas De Perone Que Es Causas Sintomas Tratamiento Y Consejos Fisioonline

Almohada De Cuna De Elevacion De La Pierna De Espuma Para Dormir Postcirugia De Pie Almohadas De Apoyo De Rodilla Almohada Medica Elevada Almohada Elevadora De Piernas Posicion Cuna Recuperacion De Cirugia

Almohada De Cuna De Elevacion De La Pierna De Espuma Para Dormir Postcirugia De Pie Almohadas De Apoyo De Rodilla Almohada Medica Elevada Almohada Elevadora De Piernas Posicion Cuna Recuperacion De Cirugia

Todo Lo Que Necesitas Saber Sobre La Bota Inmovilizadora Walker Ortoeco

Todo Lo Que Necesitas Saber Sobre La Bota Inmovilizadora Walker Ortoeco

Tratamiento De La Fractura De Tibia Mediante Fijacion Externa Presentacion De Dos Casos

Tratamiento De La Fractura De Tibia Mediante Fijacion Externa Presentacion De Dos Casos

Medicina Fisica Y Rehabilitacion Archivos Pagina 2 De 4 Mivi Alameda 16

Medicina Fisica Y Rehabilitacion Archivos Pagina 2 De 4 Mivi Alameda 16

Las 22 Mejores Ortesis Para Fracturas De Perone 2022

Las 22 Mejores Ortesis Para Fracturas De Perone 2022

Fgp Bota Ortopedica Para Tibia Y Perone Fija 0 Cvo 750 Booty Amazon Es Salud Y Cuidado Personal

Fgp Bota Ortopedica Para Tibia Y Perone Fija 0 Cvo 750 Booty Amazon Es Salud Y Cuidado Personal

Como Dormir Despues De Una Operacion De Rodilla Padelfemenino

Como Dormir Despues De Una Operacion De Rodilla Padelfemenino

Como Tratar Una Fractura De Tibia Y Perone

Como Tratar Una Fractura De Tibia Y Perone

Cirugia De Reduccion Abierta Y Fijacion Interna Western New York Urology Associates Llc

Cirugia De Reduccion Abierta Y Fijacion Interna Western New York Urology Associates Llc

Facultad De Enfermeria Caso Clinico En Un Paciente Con Fractura De Tibia Perone Servicio Traumatologia Externado Interna Kelly Paola Meza Villanueva Ppt Descargar

Facultad De Enfermeria Caso Clinico En Un Paciente Con Fractura De Tibia Perone Servicio Traumatologia Externado Interna Kelly Paola Meza Villanueva Ppt Descargar

Cancheros Fernando Gorriaran Se Quedo A Dormir En El Hospital Acompanado A Brian Lozano Momentos Antes De La Operacion Debido A La Fractura Que Sufrio De Tibia Y Perone En El

Cancheros Fernando Gorriaran Se Quedo A Dormir En El Hospital Acompanado A Brian Lozano Momentos Antes De La Operacion Debido A La Fractura Que Sufrio De Tibia Y Perone En El

Fractura De Perone Cerrada Con Tratamiento Conservador Papel De La Enfermeria En Urgencias Caso Clinico

Fractura De Perone Cerrada Con Tratamiento Conservador Papel De La Enfermeria En Urgencias Caso Clinico

Fracturas De Perone Que Es Causas Sintomas Tratamiento Y Consejos Fisioonline

Fracturas De Perone Que Es Causas Sintomas Tratamiento Y Consejos Fisioonline

Todos Los Cuidados Que Debes Seguir Si Tienes Un Yeso O Una Ferula

Todos Los Cuidados Que Debes Seguir Si Tienes Un Yeso O Una Ferula

El Icaro De Troya On Twitter Oct 17 2020 Aqui Todo Era Distinto Tenia Otra Arroba Era Sabado Por La Tarde Y Mi Pie Se Rompia En Los Dos Maleolos Tibia Perone

El Icaro De Troya On Twitter Oct 17 2020 Aqui Todo Era Distinto Tenia Otra Arroba Era Sabado Por La Tarde Y Mi Pie Se Rompia En Los Dos Maleolos Tibia Perone

Cuanto Tiempo Tarda En Soldar Una Fractura De Perone Actualizado Febrero 2022

Cuanto Tiempo Tarda En Soldar Una Fractura De Perone Actualizado Febrero 2022

Fractura De

Fractura De

Objetivos del tratamiento de la fractura de la tibia.

Paciente de 30 años de edad con fracturas en tibia y peroné derechos después de caída desde una altura elevada. Chica de 18 años es aficionada a la escalada. Aquí te dejo una que te recomiendo. Sintomatología Violencia del trauma Compromiso de partes blandas Desplazamiento Dolor Impotencia funcional. Después de 5 meses y una semana de la operación llego de la rehabilitación y como siempre es el momento que mejor me encuentro de todo el día pruebo de cam. Volver a correr tras una fractura de peroné. Y si tienes la tibia el peroné o el fémur fracturado la media debe llegarte hasta la ingle. Tras un fallo técnico en las cuerdas de seguridad calló al vacío perpendicularmente al suelo desde tres metros de altura el impacto provocó la fractura distal del peroné y la tibia. Las lesiones graves se producen debido a accidentes de tránsito accidentes en el deporte o caídas y pueden provocar una fractura con desplazamiento de tibia y peroné en la región de la articulación del tobillo.


Fracturas Proximales de Tibia y Peroné Diagnostico Fracturas proximales de tibia y peroné Métodos de Tratamiento Fracturas proximales de tibia y peroné Fracturas proximales de tibia y peroné Consideraciones especiales de la fractura Edad En estos casos el mejor tratamiento. Dismunucion de la densidad osea yuxta articular. Objetivos del tratamiento de la fractura de la tibia. Las lesiones graves se producen debido a accidentes de tránsito accidentes en el deporte o caídas y pueden provocar una fractura con desplazamiento de tibia y peroné en la región de la articulación del tobillo. También se ocasiona por fuerzas repetitivas sobre el hueso como ocurre en corredores produciendo lo que se conoce por fracturas por estrés. Dependiendo de la zona de tu pierna en la que tengas la fractura te recomiendo. A diferencia de muchas otras fracturas por fragilidad la incidencia de fracturas distales de tibia no aumenta con la edad.

Post a Comment for "Como Dormir Con Fractura De Tibia Y Peroné"